FMH, organisation professionnelle
 
Bulletin des médecins Suisses (bms)
Édition 21-22 Autres organisations et institutions – Universitäts-Kinderspital Zürich

L'IA dans le diagnostic de la fracture pédiatrique

Pédiatrie Des logiciels d’intelligence artificielle sont déjà utilisés de diverses manières dans le diagnostic de la fracture de l’adulte. Parallèlement, le développement de tels logiciels en médecine de l’enfance et de l’adolescence est à la traîne. Nos auteurs montrent quels sont les opportunités et risques qui accompagnent l’utilisation de l’IA dans le contexte de la détection de la fracture pédiatrique.

Irmhild Altmann-Schneider
Dr. med., PhD, Abteilung für Bilddiagnostik, Universitäts-Kinderspital Zürich

Christian J. Kellenberger
Prof. Dr. med., Abteilung für Bilddiagnostik, Universitäts-Kinderspital Zürich

Michelle Seiler
​​​​​​​PD Dr. med., Interdisziplinäre Notfallstation, Universitäts-Kinderspital Zürich

L’intelligence artificielle (IA) est sur toutes les lèvres et les domaines d’application dans le système de santé sont très divers. Le diagnostic automatique de fracture sur radiographies, basé sur l’utilisation de logiciels d’IA s’est considérablement développé ces dernières années, néanmoins surtout en médecine de l’adulte [1]. Dans le domaine du diagnostic de la fracture de l’enfant et de l’adolescent, ce développement est comparativement à la traîne [2]. Il existe actuellement quatre logiciels certifiés CE ou conformes aux exigences de la FDA pour le marché américain, destinés au diagnostic de la fracture pédiatrique : BoneView (Gleamer, Paris, France), Rayvolve (Azmed, Paris, France), SmartUrgences (Milvue, Paris, France) et RBfracture (Radiobiotics, Copen­hague, Danemark). En comparaison : pour le diagnostic de la fracture de l’adulte, il y en a plus du triple [3]. Cette différence peut s’expliquer par le fait que la détection radiographique de fractures du squelette en développement est plus complexe. En raison de la croissance, le squelette de l’enfant présente une plus grande plasticité et certains types de fractures ne surviennent donc qu’à l’enfance (fractures en flexion, fractures en bois vert, fractures en tore). Les fractures autour des plaques de croissance (classifiées selon Salter et Harris) sont également propres à l’enfance et l’adolescence. Par ailleurs, les « toddler’s fractures » et les fractures sur trampoline sont très spécifiques et surviennent à un certain âge, en raison d’un mécanisme de fracture unique, et sont parfois très difficiles à identifier. Les fractures occultes / subtiles au niveau du coude ne peuvent en partie être suggérées que par la présence d’un épanchement articulaire détecté à la radiographie latérale. Enfin, il existe de nombreuses variantes normales au niveau des plaques de croissance et des apophyses, qui ne doivent pas être con­fondues avec des fractures, tout comme des noyaux d’ossification qui se calcifient et grandissent. Ces particularités du diagnostic de la fracture pédiatrique, ajoutées à une population de patients nettement plus faible, rendent le développement de logiciels d’IA plus difficile et moins lucratif.

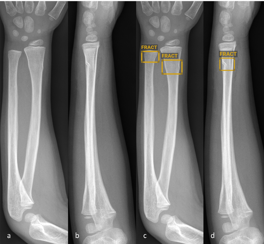
fracture en tore métaphysaire distale identifiée par l'IA

Figure 1 : Radiographies antéro-postérieures (a et c) et latérales (b et d) de l’avant-bras d’un enfant âgé de cinq ans sans (a–b) et avec (c–d) marquage diagnostique réalisé par BoneView. Le logiciel d’IA a identifié et marqué correctement la fracture en tore métaphysaire distale du radius et de l’ulna.

© Altmann-Schneider I, Kellenberger CJ, Pistorius SM, Saladin C, et al. Artificial intelligence-based detection of paediatric appendicular skeletal fractures : performance and limitations for common fracture types and locations. Pediatr Radiol. 2024 ; 54(1):136-145. http://creativecommons.org/licenses/by/4.0/ La figure correspond à une partie de l’original sans autre modification.

Opportunités et difficultés
Globalement, il existe relativement peu d’études publiées sur le diagnostic de la fracture par l’IA chez les enfants et adolescents. Les quelques études de validation réalisées en externe des logiciels disponibles dans le commerce décrits ci-dessus montrent toujours une sensibilité et une spécificité élevées (majoritairement supérieures à 90 %) des logiciels testés [4–6]. Les études varient toutefois fortement en termes de nombre total de radiographies analysées (entre 300 et 2634), de nombre de radiographies par groupe d’âge et d’évaluation des résultats. Seule une étude classe les résultats en fonction du type de fracture spécifique, mais ne tient pas compte de la localisation anatomique [6]. Dans une étude réalisée à l’hôpital pédiatrique universitaire de Zurich, nous avons récemment testé la précision diagnostique du logiciel d’IA BoneView (Gleamer) dans un ensemble de données comptant 1000 radiographies de localisations de fractures fréquentes chez les enfants (avant-bras, coude et jambe inférieure) [7]. Pour la totalité des fractures, des taux de sensibilité et spécificité similaires à ceux de précédentes publications sur le même logiciel ont été déterminés [6]. La figure 1 montre l’exemple d’une fracture en tore de l’avantbras correctement identifiée par le logiciel d’IA. Le classement selon le type de fracture a toutefois présenté d’importantes limitations. Ainsi, des fractures en flexion de l’avant-bras n’ont pas été identifiées de manière fiable. Par ailleurs, le taux de détection des avulsions de l’apophyse styloïde de l’ulna, des fractures en tore du radius proximal et des fractures de l’olécrane était nettement plus bas (< 80 %) par rapport aux autres fractures de l’avantbras. Dans la partie inférieure de la jambe, un taux de détection inférieur des « toddler’s fractures » (74 %) et fractures survenues sur trampoline (66 %) a été observé. Au niveau des coudes, seules les fractures supra-condyliennes complètes et les fractures du col radial ont été identifiées avec un taux de détection supérieur à 80 %. La détection d’épanchements articulaires au niveau du coude comme signe indirect de fracture était seulement modérée. Les luxations de l’articulation du coude n’ont pas été identifiées avec fiabilité (figure 1). Pour résumer, il est à retenir que les résultats – parfois discrets, mais extrêmement pertinents – susceptibles d’échapper à un oeil moins avisé ne peuvent pas non plus être détectés de façon fiable par le logiciel.
Outre la précision diagnostique des différents logiciels concernant les fractures typiques, il manque des études comparatives des logiciels de détection de fracture disponibles dans le commerce, qui offriraient au personnel clinique intéressé une base solide pour le choix d’un produit adapté.

Perspectives
Étant donné que les radiologues non pédiatriques pourraient surtout profiter au quotidien de l’aide des logiciels d’IA pour confirmer le diagnostic, l’implémentation de tels logiciels ne semble actuellement pas encore très prometteuse au vu des limitations décrites. De futures études prospectives sont en outre requises pour tester l’utilisation de logiciels d’IA au quotidien et pour évaluer les répercussions sur l’établissement du diagnostic de fractures chez l’enfance et adolescent.

Radiographies antéro-postérieures (a et c) et latérales (b et d) de l’avant-bras d’un enfant âgé de six ans sans (a–b) et avec (c–d) marquage diagnostique réalisé par BoneView.

Figure 2: Radiographies antéro-postérieures (a et c) et latérales (b et d) de l’avant-bras d’un enfant âgé de six ans sans (a–b) et avec (c–d) marquage diagnostique réalisé par BoneView. Le logiciel d’IA a identifié et marqué correctement la fracture proximale de l’ulna, mais n’a pas détecté la luxation radiale dans le cadre de la fracture-luxation de Monteggia (encadré rouge, c–d).

© Altmann-Schneider I, Kellenberger CJ, Pistorius SM, Saladin C, et al. Artificial intelligence-based detection of paediatric appendicular skeletal fractures: performance and limitations for common fracture types and locations. Pediatr Radiol. 2024; 54(1):136–145. http://creativecommons.org/licenses/by/4.0/ La figure correspond à une partie de l’original sans autre modification.

Correspondance

info@patientenapotheke.ch

Références

  1. Offiah AC. Current and emerging artificial intelligence applications for pediatric musculoskeletal radiology. Pediatr Radiol. 2022; 52(11):2149–2158.
  2. Shelmerdine SC, White RD, Liu H, Arthurs OJ, et al. Artificial intelligence for radiological paediatric fracture assessment: a systematic review. Insights Imaging. 2022; 13(1):94.
  3. Pauling C, Kanber B, Arthurs OJ, Shelmerdine SC. Commercially available artificial intelligence tools for fracture detection: the evidence. BJR Open. 2024; 6(1):tzad005.
  4. Dupuis M, Delbos L, Rouquette A, Adamsbaum C, et al. External validation of an artificial intelligence solution for the detection of elbow fractures and joint effusions in children. Diagn Interv Imaging. 2024; 105(3):104-109.
  5. Dupuis M, Delbos L, Veil R, Adamsbaum C. External validation of a commercially available deep learning algorithm for fracture detection in children. Diagn Interv Imaging. 2022; 103(3):151–159.
  6. Hayashi D, Kompel AJ, Ventre J, Ducarouge A, et al. Automated detection of acute appendicular skeletal fractures in pediatric patients using deep learning. Skeletal Radiol. 2022; 51(11):2129–2139.
  7. Altmann-Schneider I, Kellenberger CJ, Pistorius SM, Saladin C, et al. Artificial intelligence-based detection of paediatric appendicular skeletal fractures: performance and limitations for common fracture types and locations. Pediatr Radiol. 2024; 54(1):136-145.